Small cell lung cancer (SCLC) is a fast-growing, aggressive cancer, often called oat cell carcinoma due to its cell appearance. It typically begins in the body’s large central airways and spreads rapidly andaccounts for 10-15% of all lung cancer cases. Newer treatment options that combine chemotherapy and immunotherapy are improving survival and quality of life for patients with small cell lung cancer. SCLC is almost exclusive to smokers, characterised by rapid growth and early cancer spreading.
Small Cell versus Non-Small Cell Lung Cancer
Small cell lung cancer (SCLC) differs from non-small cell lung cancer (NSCLC):
- Cell Appearance: Cells are much smaller than normal cells, with minimal cytoplasm and dense nuclei, giving SCLC its name.
- Growth Rate: SCLC grows and spreads more rapidly than other lung tumours, with a faster tumour doubling time.
- Early Spread: At diagnosis, 60–70% of SCLC patients already have metastases, representing metastatic disease.
- Neuroendocrine Origin: Cancer cells arise from the neuroendocrine system and can produce hormones, as in neuroendocrine tumours, which may cause additional symptoms. This underscores the importance of understanding the characteristics of small cell lung cancer neuroendocrine tumours.
Types of Small Cell Lung Cancer
There are two main types of lung cancer when it comes to small cell carcinomas:
- Small cell carcinoma (oat cell cancer) is the most common type, accounting for the majority of cases. These tumour cells grow and spread rapidly, often metastasising early.
- Combined small cell carcinoma is a rare subtype (2%–5% of cases) with features both small cell and non-small cell lung cancer in the same primary tumour, potentially impacting the treatment plan.

Symptoms
Small cell lung cancer often presents no early-stage lung cancer symptoms, which causes patients to only get diagnosed later instead of earlier. SCLC develops when healthy lung cells and other lung cells undergo mutations and proliferate unchecked, forming lung tumours. Cancer cells shed from these tumours spread via the bloodstream or lymphatic system, commonly metastasising to lymph nodes, bones, brain, liver and adrenal glands. SCLC can also cause pleural effusion (fluid buildup around the lung), leading to breathing difficulties.
When small cell lung cancer symptoms occur, they may include:
- Persistent cough that doesn’t go away, or worsens
- Coughing up blood (hemoptysis)
- Chest pain or discomfort
- Shortness of breath
- Wheezing
- Hoarseness
- Difficulty swallowing
- Unexplained weight loss
- Loss of appetite
- Fatigue
- Facial swelling
- Swollen neck veins
Many of these symptoms mimic minor issues. If you smoke or used to smoke and symptoms persist or worsen, consult your doctor. Seek immediate attention for the following: significant blood in cough, new breathlessness at rest, chest pain with fever, nausea, new neurological symptoms (headaches, confusion, seizures, vision changes), or severe fatigue. Early signs of small cell lung cancer may be subtle but require prompt attention.

Paraneoplastic Syndromes
Because SCLC is a neuroendocrine cancer, it can act like a hormone factory, causing other issues in the body. Here are some of the problems SCLC can cause by making extra hormones:
- SIADH (Syndrome of Inappropriate Antidiuretic Hormone Secretion): Too much of the antidiuretic hormone makes the body hold onto too much water. This dangerously reduces the blood’s salt level.
- Cushing’s syndrome: This occurs when a tumour secretes excessive ACTH, which in turn triggers the body to produce excess cortisol.
- Lambert-Eaton myasthenic syndrome (LEMS) is a disorder that causes muscle weakness. About half the patients who develop LEMS are eventually found to have small cell lung cancer.
Not everyone with SCLC develops these syndromes, but they can occur and aid physicians in diagnosing the disease or managing symptoms more effectively.
Causes and Risk Factors
Smoking: The Primary Cause
The most common cause of small cell lung cancer is smoking tobacco, whether it is now or used to. About 98 out of every 100 small cell lung cancer cases are smoking-related. This is a major risk factor. Your risk goes up if you smoke more cigarettes daily, have smoked for more years, started smoking when you were younger, or smoke very heavily. Even smokers who quit still have a higher risk than those who never smoked, but the risk slowly drops the longer they stay smoke-free.

Other Risk Factors
- Environmental: Secondhand smoke, radon gas, air pollution containing cancer-causing chemicals
- Occupational: Asbestos, arsenic, chromium, beryllium, nickel, soot, tar
- Medical: Previous chest thoracic radiation therapy, multiple CT scans, family history of lung cancer, HIV infection, and old age
Is small cell lung cancer hereditary?
Small cell lung cancer is typically caused by environmental factors, especially smoking, but it doesn’t usually run in families. Many of these tumours have gene mutations, but these changes are usually found within the tumour itself and aren’t inherited. Just because you have other risk factors doesn’t mean you will get lung cancer, and not having clear risk factors doesn’t mean you are safe from it.

Diagnosis
Initial Evaluation and Imaging
To start, the doctor usually takes a chest X-ray. If they see anything concerning, they will order more detailed imaging tests. The main test is a CT scan. A PET scan is often used with a CT scan to check if the cancer has spread. An MRI is used to check for spread to the brain, and a bone scan is used to check for spread to the bones.
Tissue Diagnosis
A lung biopsy is necessary to confirm the diagnosis of small cell lung cancer. How the doctor takes the sample depends on where the tumour is:
- Bronchoscopy: If the tumour is close to the airways, a thin, flexible tube with a camera is inserted through the nose or mouth to examine the area and obtain a small tissue sample.
- EBUS (Endobronchial Ultrasound): Similar to a bronchoscopy, it uses ultrasound to guide the sampling of nearby lymph nodes in the central chest.
- CT-guided needle biopsy: For tumours near the outer edge of the lung, a needle is inserted through the chest wall under CT guidance to obtain a sample.
- Thoracentesis: This procedure removes fluid that has accumulated around the lung for testing.
- Thoracoscopy or mediastinoscopy: These are minimally invasive procedures used to examine the chest and obtain samples.
Surgery to get a biopsy is rare and only used if other methods can’t get enough tissue.
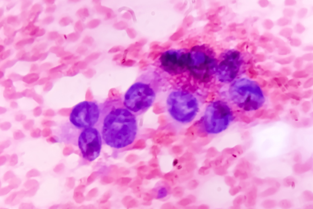
Pathology
When viewed under a microscope, cancer cells are very small, have little surrounding material, divide quickly, and have tightly packed centres. Specialised laboratory tests use specific markers (e.g., Ki-67, CD56, TTF-1, chromogranin A, synaptophysin) to confirm the diagnosis and to target cancer cells.
Staging
Small cell lung cancer stages are typically grouped into two stages:
- Limited stage: The cancer is contained to one side of the chest and can be treated with a single area of radiation therapy. This includes one lung, the pleural space between the lungs, and the adjacent lymph nodes. About 1 in 3 have this limited-stage cancer when they are diagnosed.
- Extensive stage: The cancer has spread outside the limited area, such as to the opposite lung, distant lymph nodes, or other organs, as metastatic small cell lung cancer. About 70% of patients are diagnosed at this extensive stage of the disease, representing more advanced cancer.
The stage of your cancer, along with your general health, will determine your treatment plan.

Treatment
Small cell lung cancer treatment usually starts quickly because it grows fast. Your healthcare team will recommend a plan based on stage, overall health and personal preferences. Treatment begins after careful assessment.
Surgery
Lung cancer surgery is a limited option (about 5% of patients) for localised cancer in one lung without spreading to lymph nodes or distant sites, followed by chemotherapy and sometimes radiation therapy. For most patients, diagnosis occurs after the cancer has spread, making systemic cancer treatment the main approach.
Chemotherapy
Chemotherapy is the main lung cancer treatment for small cell lung cancer because SCLC travels through the bloodstream to reach cancer cells across the body and kill cancer cells. The most common first-line treatment is cisplatin or carboplatin plus etoposide as combination chemotherapy.
For limited-stage disease, chemotherapy is usually combined with radiation therapy to the chest, often given at the same time. For an extensive stage of the disease, chemotherapy is often given with immunotherapy.
If relapse happens, your team may consider using the original chemotherapy again. Many patients respond well at first, but small cell lung cancer often returns, so follow-up matters.
Radiation Therapy
Radiation therapy uses high-energy X-rays to kill cancer cells in a targeted area. For limited-stage small cell lung cancer, thoracic radiation therapy is often given to the chest at the same time as chemotherapy, as this approach can improve control of the cancer spread and ultimately, the survival of the patient.
For extensive stages of the disease, chest radiation may be considered in selected SCLC patients who respond well to chemotherapy. Radiation is also used to relieve symptoms, such as bone pain, breathing problems, or brain metastases.
Some patients may be offered prophylactic cranial irradiation (PCI) after a good initial response to lower the risk of cancer spreading to the brain, while others may choose regular brain scans with treatment only if metastases appear. Side effects may include fatigue, oesophagus irritation and lung inflammation.
Immunotherapy
Immunotherapy helps your immune system identify and attack cancer cells by blocking immune checkpoints. For extensive-stage SCLC, immunotherapy is often given with chemotherapy as the best treatment for small cell lung cancer, most commonly using atezolizumab or durvalumab with a platinum drug and etoposide. This combination can help some SCLC patients live longer than chemotherapy alone, though SCLC can still come back.
For limited-stage disease, durvalumab may be offered after chemotherapy if the cancer has not progressed. Other immune-based medicines may be treatment options in selected situations, including newer targeted therapies, depending on availability and suitability.
Other Approaches
- Laser therapy: Uses a narrow beam of light to kill cancer cells, particularly to open blocked airways
- Endoscopic stent placement: Places a tube-like device to keep airways open
- Clinical trials: Clinical trial participation may provide access to promising new treatment options
Palliative Care
Palliative care relieves symptoms, improves the quality of life, and can be provided alongside active cancer treatment, not just at the end of life. It manages pain, breathing issues and other symptoms throughout treatment. Your specialist will discuss which palliative care options are most appropriate for you or your loved ones.

Prognosis and Survival
Small cell lung cancer prognosis tends to show rapid growth and spread. Without treatment, it can become life-threatening within months. Treatment can shrink the aggressive cancer and ease symptoms, but the cancer often comes back, so follow-up care matters.
Survival statistics can help give a general picture of small cell lung cancer life expectancy, but they cannot predict what will happen for one person. In general, limited-stage small cell lung cancer has a better outlook than extensive-stage disease. Longer-term survival is possible for a small number of people, especially when the cancer responds well to treatment.
Several factors affect prognosis. These include the stage at diagnosis, the extent of the cancer’s response to the first treatment, whether and when recurrence occurs, and overall health and fitness to tolerate treatment. Patients whose cancer goes into a complete response often do better than those with a partial response. Even so, malignant small cell lung carcinoma can return despite a strong initial response.
After chemotherapy or immunotherapy, tiredness, breathlessness, and changes in appetite are common. Your team will monitor your complete blood count, as low counts can increase the risk of infection.
After radiation therapy, you may feel more fatigued, and chest treatment can irritate the oesophagus, which usually improves gradually after your treatment ends. After surgery, pain and fatigue are expected initially. Most patients gradually return to activity over several weeks, with guidance on breathing exercises, wound care, and advice on when to resume normal routines.
Follow-up care assesses treatment effectiveness, monitors for recurrence, and manages symptoms. It often includes regular reviews, planned scans such as chest CTs and, sometimes, brain MRIs, blood tests, and symptom checks. Contact your healthcare team if you notice new or worsening shortness of breath, unexplained weight loss, new headaches or neurological symptoms, or new bone pain.

Prevention and Risk Reduction
Avoiding tobacco is the most effective way to reduce the risk of lung cancer and cancer death. Your lungs start to recover soon after you stop, and quitting can also improve treatment results, even after a lung cancer diagnosis. Ask your healthcare professional about support options such as stop-smoking programmes, nicotine replacement (patches, gum or lozenges), prescription medicines, counselling, support groups and quitlines.
Other steps can help reduce risk.
- Avoid secondhand smoke
- Test your home for radon and fix high levels
- Use appropriate protective equipment when working with carcinogens, including asbestos, arsenic, nickel and chromium.
Aim for regular physical activity, a balanced diet and a healthy weight, as these support overall health during and after treatment. There is no screening test designed specifically for small cell lung cancer, but those at higher risk may benefit from discussing lung cancer screenings with their doctor.

Living With Small Cell Lung Cancer
Nutrition, physical activity, and emotional support all play a role in maintaining well-being during and after treatment. If your appetite is poor, a dietitian can help you choose nutrient-dense foods and plan small, frequent meals. Gentle physical activity, such as short walks, can ease stress and fatigue and help you maintain strength.
Many also benefit from support groups, counselling, or mental health care for anxiety or low mood, along with honest conversations with family and friends. Work closely with your healthcare team to manage side effects and report any new or worsening symptoms early.
How Neumark Can Help
Small cell lung cancer remains challenging, but treatment advances continue to improve outcomes. Newer combinations, including immunotherapy with chemotherapy combined with thoracic surgery, are helping some SCLC patients live longer and maintain a better quality of life.
If you smoke or have a history of smoking and notice concerning symptoms, arrange a medical review promptly. Neumark’s lung cancer treatment centre can coordinate imaging, biopsy and treatment planning through a multidisciplinary team, from diagnosis through follow-up.
If you want clear answers and a personalised plan, contact Neumark Lung & Chest Surgery Centre to book a consultation at Gleneagles or Mount Alvernia hospitals.